「親知らず(智歯)は、一般的に17歳〜20代前半ごろに生えてくる歯で、昔はその頃にはすでに親が亡くなっていることも多く、「親がその歯の生えたことを知らない」ことから「親知らず」と呼ばれるようになったとされ、また、この時期は知恵がつく年齢に差しかかるため「智歯(ちし)」とも呼ばれ、英語でも同様にwisdom tooth(ウィズダム・トゥース)と呼ばれるなど、世界的にも共通した認識が見られます。」
親知らずの抜歯と口腔外科
親知らずの抜歯と口腔外科

「親知らず(智歯)は、一般的に17歳〜20代前半ごろに生えてくる歯で、昔はその頃にはすでに親が亡くなっていることも多く、「親がその歯の生えたことを知らない」ことから「親知らず」と呼ばれるようになったとされ、また、この時期は知恵がつく年齢に差しかかるため「智歯(ちし)」とも呼ばれ、英語でも同様にwisdom tooth(ウィズダム・トゥース)と呼ばれるなど、世界的にも共通した認識が見られます。」

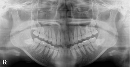
X線写真のように萌出する場所がない「親知らず」は手前の歯を強い力で押しています。その結果、前方の歯列の乱れを生じることがあります。一度乱れた歯は元には戻りません。

親知らずが手前の大臼歯の歯根部に食い込み、大きなむし歯をつくってしまったX線像です。結局手前の大臼歯の神経をとりました。残念です!

萌出する場所がない「親知らず」は手前の歯を強い力で押しています。その結果、前歯の歯並びが乱れたりします。一度歯並びが乱れた歯は元には戻りません。
不要な親知らずは抜いたほうが良い場合が多いです。ただし、全てのケースで抜歯が必要なわけではなく、個別の状況によります。以下に、抜いたほうが良い主な理由と、経過観察が可能な場合を整理しておきます。
不要と思われる親知らずで、炎症やむし歯のリスクが高い場合は、早めに抜歯したほうが安心です。ただし、抜歯には大きなリスク(神経損傷や腫れ、出血など)もあるため、口腔外科のある歯科医院での診断と相談が重要です。当医院では口腔外科専門医に智歯抜歯を行っていただいています。
「かかりつけの歯科医院で親知らずを抜くように言われたのですが、今のところ痛みもないし、抜くのが怖いので抜きたくないのですが、、、?やはり抜歯した方が歯の健康のためには良いのでしょうか?」
多くの方が親知らず(智歯)に関する悩みを抱えており、「抜くべきか?」という質問をよくいただきます。私の長年の臨床経験から申し上げると、不要な智歯であれば、なるべく早めに、できれば20歳までに抜歯することをおすすめします。
もちろん、実際にお口の中を拝見しないと確定的な判断はできませんが、日本人の場合、親知らずが正常に生えてくるスペースが不足しているケースが非常に多いです。例えば、手前の第2大臼歯に途中まで引っかかって生えていたり、完全に真横を向いて顎の骨に埋まっている「水平埋伏智歯」などがよく見られます。
そのため、多くの日本人にとって智歯は、健康に維持するのが難しい歯であり、抜歯によって将来のトラブル(腫れ・痛み・歯周病など)を未然に防ぐことができます。
ただし例外として、第2大臼歯がむし歯などで抜歯状態にある場合には、親知らずをその代わりとして移植に使うために残すこともあります。しかし、そもそもそのような状況を招く原因が親知らずにあることも多く、結果的に早めに抜いておいた方が良かった、というケースも少なくありません。
まとめると、「不要な親知らず」は将来にわたる様々なリスクを伴うため、できるだけ早い時期に抜歯することが望ましいのです。
TOP